歯周病検査について
歯周病の診断に必要な検査は、レントゲン撮影と歯周病検査です。歯周病検査は、歯と歯茎の間の溝(歯周ポケット)の深さ、歯の揺れ具合、出血の有無を評価します。深いポケットは歯ブラシや酸素が行き届かず、歯周病原細菌が増えやすくなります。
定期健診では、口腔清掃状態や初期の虫歯、歯周病の再発、そして治療の予後(責任を持った治療を行うには長期の経過を追う必要があります)を確認・発見することができます。定期健診を行なうメリットとしては、何か見つかった際に最小限の治療で済ますことができ、口腔清掃のモチベーションを維持出来ます。そして、治療の保証が適用でき、全身疾患の変化を把握することも可能です。当院では、て口腔清掃状態、歯周病・虫歯リスクに応じて3〜6ヶ月のペースをご提案します。
歯周病の診断に必要な検査は、レントゲン撮影と歯周病検査です。歯周病検査は、歯と歯茎の間の溝(歯周ポケット)の深さ、歯の揺れ具合、出血の有無を評価します。深いポケットは歯ブラシや酸素が行き届かず、歯周病原細菌が増えやすくなります。

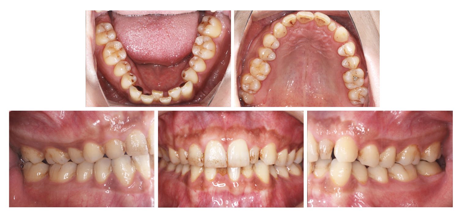
以下の症例は他院で1年前に定期検診をして以来、定期検診に行かなくなってしまった患者さんです。
特に下の前歯の裏側に多量の歯石・ステイン沈着が認められます。
歯周病の予防で重要なことは、歯と歯茎の境目のプラーク(汚れ)を落とすことです。適切な位置にブラシの毛先を位置づけ、1歯ずつ細かい動きで磨きます。 歯間部(歯と歯の間)のプラークは歯ブラシでは落とせないことがほとんどです。歯並びや歯周病の進行度に応じて適切な道具を使うことが重要です。歯磨き指導(TBI)について プラークを赤く染めだして、鏡を見ながら歯磨きし、プラークが落ちた事を確認する。 本当にこれで十分に効果的で効率的でしょうか。一生懸命磨いているつもりでも、何度もまだ プラークが残っていると指摘されるいった経験は無いでしょうか。磨き残しの部位は患者さん一人ひとり違います。当院では歯の並びや使用しているブラシ、持ち方など個々の特徴に応じたTBIを行ないます。
歯石はプラークに唾液中のミネラルが沈着して固まったものです。一見白いかたまりですが、その表面は多孔質で細菌の住処となっています。歯石はプラークと異なり、歯ブラシで除去することが困難です。歯石を放っておくと、そこに住み着いている細菌が歯周病を引き起こすと考えられています。これら歯石を歯科医院で除去し、普段の歯磨きをしっかりと行うことで、歯周組織の健康は維持されます。

一般に歯周病を抗生物質で治すことは難しいと言われています。薬を飲んでも、それがプラーク内の細菌に到達できないためです。この薬を遮断しているのが、バイオフィルムといわれる糖とタンパク質を主成分とした防御壁です。そのため、歯科治療では超音波器具や専用の道具を使って、機械的にバイオフィルムを除去する 必要があります。通常口腔内には700種類、2000~6000億個の細菌が存在すると言われています。プラークが成熟すると歯や歯茎にとって好ましくない細菌の割り合いが増加してきます。毎日の歯磨きでこれら口腔内細菌とうまく付き合って行かなければなりません。

プロフェッショナル・メカニカル・ティース・クリーニング(専門家による機械的な歯のクリーニング)をPMTCと呼びます。自分ではなかなか取れない着色の除去や、歯の表面を磨くことでプラークがつきにくい歯面にします。
超音波器具で歯石を、エアフローで着色を除去します。その後ブラシと歯科医院用の歯磨剤で表面を磨きます。

スケーリング(歯石除去)・PMTCを行った後の写真です。この患者さんはこの後3ヶ月に1度の定期検診を行って経過をみております。
むし歯や歯周病など、お口の中の疾患の原因は細菌の塊であるプラーク(歯垢)です。プラークが多く残った環境下で治療をすると、治療効果が得られなかったり、病気が再発したりします。
当院では、治療が完了するまでに、患者さん自身でプラークが除去できるように口腔清掃指導を行い、治療後の健康を維持できるようにします。
実際に指導した前後で、染め出したプラークを示します。
むし歯の治療や、定期的な歯石除去を行うだけでは、自分でプラークを落とせるようにはなりません。
健康を維持できる歯磨きができれば、定期検診の間隔を長くすることもできます。

口腔清掃指導を行った後
こちらの患者さんは、数分の指導で綺麗にプラークを落とせるようになりました。
指導前には歯肉炎がありましたが、次回の来院時には健康な歯茎になりました。

バス法
歯の付け根と歯間の清掃、
歯肉マッサージを主体とする圧迫運動によるブラッシング
■歯ブラシの毛先45度の角度で歯肉にあてる
■毛先の位置はそのままで歯ブラシを小刻みに横に2mm幅ほど振動させる
