1. 治療前
初診時の口腔内写真です。重度の歯周病と多数のむし歯を認めます。
2. 歯周組織再生療法
右上の前歯に垂直性骨吸収を認めたため、再生療法を行いました。
3. 術後経過
術後6ヶ月で歯周病検査・エックス線写真による、再生の評価を行います。
術後6ヶ月で隣在歯のフラップ手術の際に歯周組織の再生を確認しました。(※通常は2回目の手術を行い、再生を確認することはいたしません)
| 歯周基本治療終了後 | 術後8ヶ月 | ||
|---|---|---|---|
| 11 | 11 | ||
| 動揺度 | 1 | 0 | |
| 歯周ポケット深さ | B | 5 3 3 | 3 2 3 |
| P | 5 6 5 | 3 3 3 | |
4. 術前術後のCTの比較
CTでも新生骨の形成が確認できました。
1. 治療前
初診時の口腔内写真です。重度の歯周病と多数のむし歯を認めます。
2. 歯周組織再生療法
右上の前歯に垂直性骨吸収を認めたため、再生療法を行いました。
3. 術後経過
術後6ヶ月で歯周病検査・エックス線写真による、再生の評価を行います。
術後6ヶ月で隣在歯のフラップ手術の際に歯周組織の再生を確認しました。(※通常は2回目の手術を行い、再生を確認することはいたしません)



4. 術前術後のCTの比較
CTでも新生骨の形成が確認できました。
| 主訴 | 前歯の入れ歯をなくした。歯ぐきからの出血が気になる。 |
|---|---|
| 治療内容 | 肉芽組織の掻爬・根面の歯石除去を行い、歯槽骨の吸収している部位に再生療法を行いました。 |
| 治療期間 | 当日手術1~2時間。1~2週後に抜糸。1ヶ月ほどで歯肉は安定しますが、再生しているかの評価を3~6カ月後に行います。 |
| 治療費 | 1歯 ¥60,500円(税込) |
| 治療リスク | ・術後疼痛、腫脹、出血などの可能性があります。 術後は抗生剤・消炎鎮痛剤・含嗽剤を処方いたします。疼痛は消炎鎮痛剤で抑えられる程度のことがほとんどです。 |
スケーリング(歯石除去)・PMTCを行った後の写真です。この患者さんはこの後3ヶ月に1度の定期検診を行って経過をみております。
1.初診時口腔内写真
左上の奥歯が取れてしまい、他院で抜歯するしかないと言われ来院されました。
2.初診時エックス線写真
左上の1番奥の歯はすでに神経がとってあり、
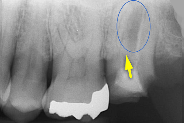
大きなむし歯を認め根分岐部の歯周ポケットは8mmでした。
今回の症例では、歯根の途中にパーフォレーション(穴があいている)が認められ(黄矢印)、根の間の骨(青丸)が溶けていました(根分岐部病変)。
パーフォレーションは抜歯となってもおかしくないですが、患者さんは歯の保存を強く希望されました。
図1

虫歯除去途中

3.CT撮影
根管治療は小さいCTを撮影することで、より精密な治療が可能となります。本症例ではパーフォレーションによる根分岐部病変と根尖病変が併発しているという診断になりました。
図1

図2

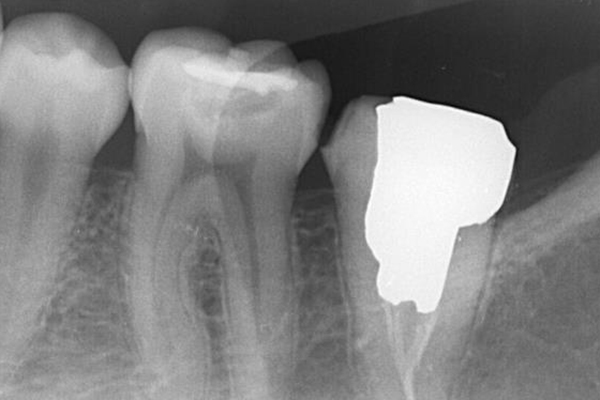
4.根管治療とパーフォレーションリペア
マイクロスコープを用いながら(左図)、MTAセメントによるパーフォレーションリペア、根管充填を行いました(右図)。
その後、土台を立てて仮歯をのせ、1ヶ月ほど使ってもらいました。問題ないことを確認し、最終の被せ物を装着しました。
マイクロスコープを用いながら(下記図1)、MTAセメントによるパーフォレーションリペア、根管充填を行いました(下記図2)。
その後、土台を立てて仮歯をのせ、1ヶ月ほど使ってもらいました。問題ないことを確認し、最終の被せ物を装着しました。
図1

図2

5.術後経過
術後、左上奥歯の歯肉に炎症は認められず、歯周ポケットも改善しました。 今後も注意深く経過観察を行なっていきます。
術前

術後6ヶ月

術後1年

| 主訴 | 左上の奥歯が腫れた、歯を残してほしい。 |
|---|---|
| 治療内容 | パーフォレーションによる根分岐部病変·根尖病変に対し、MTAセメントによるパーフォレーションリペア·根管治療を行なった。 |
| 治療期間 | 3ヶ月 |
| 治療費 | CT撮影 ¥5,500 パーフォレーションリペア ¥16,500 ホワイトジルコニアクラウン ¥77,000 ※クラウンは他のものを選択いただくことも可能です。 |
| 治療リスク | 保存困難な歯を保存治療する際は、治療期間・費用がかかりますが、術後短期でトラブルが起こることがあります。 |
1.初診時口腔内写真
右上前歯の歯肉の腫れ(丸印)が治らなく、痛くなってきたということで来院されました。
右上2番目の前歯は10年ほど前にセラミッククラウンをいれたそうです。
歯肉を押すと痛みがあり、歯肉の一部から膿が出ていました。
歯周病検査を行いましたが、深い歯周ポケットは認めませんでした。
2.初診時エックス線写真
デンタルエックス線写真を撮影すると、根の先端の周囲骨に透過性の亢進(骨が溶けている)が認められました。
CTを撮影したところ、親指ほどの大きさの根尖病変を認めました。
両隣の歯の神経は正常であり、歯の破折を疑う所見もありませんでした。
本来は被せ物を外して根管治療を最初に行うべきですが、根管充填は良好で被せ物の下に明らかなむし歯がなく、
患者さんも被せ物を外したくないという希望があるため、歯根端切除術を行う方針となりました。


3.歯根端切除術
歯肉を開いて病変を掻爬すると親指大くらい骨が欠損していました。
歯根嚢胞も疑われましたが、取れた組織は炎症性の肉芽組織と考えられました。
根の先端を切除し、特殊な道具を使って、根管内をきれいにします。
マイクロスコープで根管内の汚染が取れたことを確認し、洗浄したあとにMTAセメントを充填(矢印)し、縫合します。


4.術前·術後1年 CT比較
欠損していた部位に歯槽骨が形成され、治癒が認められます。
歯肉の炎症も改善し、歯の動揺もなく良好に経過しております。さらなる長期の経過を追っていく必要があります。


| 主訴 | 右上の前歯が腫れて、痛い |
|---|---|
| 治療内容 | 右上の前歯に歯根端切除術を行い、MTAセメントを用いて、逆根管充填を行いました。 |
| 治療期間 | 3ヶ月 |
| 治療費 | 手術料¥55,000 |
| 治療リスク | ・術後出血·腫脹·疼痛の可能性があります。 ・術後に歯の動揺が起こる可能性があります。 ・経過観察を行っていく中で、症状が再発することもあります。 |
1.診断
右下の奥歯にむし歯があり、神経を取る可能性があると指摘され、神経の保存を希望して来院されました。レントゲンを撮影したところ、神経に近いむし歯(黄矢印)が認められました。
神経の保存を試みる方法はありますが、神経を取らなければならない可能性をよく説明して治療を始めました。右の写真はむし歯を除去している途中の写真です。


2.むし歯の除去
むし歯を除去すると神経まで達していました(赤矢印)。神経を消毒し、MTAセメント(黄矢印)にて保護してコンポジットレジン充填を行いました。治療後に痛みが出たり、数ヶ月後に神経が壊死する所見が認められなければ、神経の保存が可能となります。


3.術後経過
術後8ヶ月以上経過しておりますが、神経壊死の所見は認められず、良好に経過しております。


| 主訴 | 神経を残したい |
|---|---|
| 治療内容 | 神経に達するむし歯を除去して、MTAセメントを用いて神経保存治療を行いました。 |
| 治療期間 | 1日 ※3ヶ月経過後にエックス線写真撮影 |
| 治療費 | ¥16,500~ |
| 治療リスク | ・治療後にしみる症状が1ヶ月程度続くことがあります。 ・しみる症状が改善しなかったり、ズキズキ痛むような症状が出た場合は、神経を取る必要があります。 ・数ヶ月、数年後に神経が壊死してしまう可能性もあります。 |
1. 初診時
左下の歯ぐきが腫れて痛い、前医に抜歯するしかないと言われたが残してほしいということで来院されました。左下の奥歯に大きな根尖病変(↑)が認められます。

2. 診断
デンタルエックス線写真・CTを撮影し、精査を行いました。根尖病変に対して通常は再根管治療を行いますが、今回は根尖病変(❇︎)に加え歯根の外部吸収(↑)が認められました。

3. 意図的再植術
再根管治療では感染源の除去と根管の封鎖が困難であると考え、意図的再植とMTAセメントを用いた逆根管充填を行ないました。歯根膜(↑)を傷つけないように丁寧に患歯を抜去し、感染源を除去するため歯根を約3mm切除しました。MTA セメントを用いて逆根管充填(❇︎)を行い、炎症性肉芽組織を掻爬した抜歯窩に歯を再植、固定しました。

4. 術後エックス線写真
術後8ヶ月で、歯肉の炎症は認めず、根尖病変は縮小傾向にあると考えられます。

5. 術後1年半
術後1年半で根尖病変の不透過性が亢進しました(エックス線写真で白くなってきた)。治癒傾向にあると考えられますが、今後も長期的に注意深く観察を行なっていきます。
Before

After

| 主訴 | 左下の歯ぐきが腫れて痛い、前医に抜歯するしかないと言われたが残してほしい。 |
|---|---|
| 治療内容 | 左下第一大臼歯に意図的再植とMTAセメントを用いた逆根管充填を行ないました。 |
| 治療期間 | 約3ヶ月 |
| 治療費 | 意図的再植術:¥55,000 プレミアムジルコニアクラウン: ¥121,000 ※クラウンは他のものを選択いただくことも可能です。 |
| 治療リスク | ・外科手術後疼痛、腫脹、出血などの可能性があります。 術後は抗生剤·消炎鎮痛剤·含嗽剤を処方いたします。疼痛は消炎鎮痛剤で抑えられる程度のことがほとんどです。3日~1週間ほどで炎症は消退することが多いです。 ·術後に歯が生着しないことや、抜歯時に歯を損傷して再植することができないリスクがあります。 |
1. 治療前
初診時の口腔内写真です。右上の犬歯(丸の部分)は重度の歯周病です。
2. 再根管治療後
患者様は抜歯を希望されず、なんとか残したいというご希望でしたので、再根管治療・歯周基本治療を行いました。しかし、歯周ポケットからの排膿は改善しませんでした。患者様のご了承をいただき、やむを得ず抜歯の方針となりました。
3. 抜歯後3ヶ月
重度歯周病の歯を抜歯したため、歯肉や顎骨は大きく吸収していました。患者様はインプラントによる欠損部の回復を望まれていたため、骨再生治療を行う方針となりました。骨補填材を骨が吸収している部位に充填して、その上をコラーゲンの膜で覆い、縫合を行います。
4. 骨再生手術後6ヶ月
骨再生治療後は新生骨ができるまで6ヶ月間の治癒期間を設けます。6ヶ月後に良好な新生骨が形成されていればインプラントを埋入することができます。
術後6ヶ月で歯肉の凹みは改善し、エックス線写真でも新生骨の形成が認められました。
5. インプラント埋入手術
インプラント埋入が可能な良好な骨形成が認められたため、インプラントを埋入しました。
6. 術前術後の比較
右上の犬歯の見た目・機能を回復することができました。また歯周病治療により歯肉の炎症が改善されました。
| 主訴 | 右上の犬歯がぐらぐらする。 |
|---|---|
| 治療内容 | 顎骨の吸収している部位に骨再生治療を行いました。その結果、インプラントの適応が困難であった顎骨にインプラントを埋入することができました。 |
| 治療期間 | 当日手術1〜2時間、1〜2週後に抜糸。新生骨が形成され、インプラントが埋入可能となるまで6ヶ月の治癒期間を設けます。 |
| 治療費 | 骨再生治療 1歯 ¥66,000(税込) |
| 治療リスク | ・術後疼痛、腫脹、出血などの可能性があります。 術後は抗生剤・消炎鎮痛剤・含嗽剤を処方いたします。疼痛は消炎鎮痛剤で抑えられる程度のことがほとんどです。骨再生治療では、骨移植材を歯肉で完全に覆うために減張切開と呼ばれる切開を加えます。そのため、内出血や術後の腫脹が他の外科治療よりも強く出ることがあります。3日〜1週間ほどで炎症は消退することがほとんどです。 |
1. 治療前
初診時の口腔内写真です。左右下顎の奥歯が欠損しております。入れ歯を作製したそうですが、数年前から使っていないとのことでした。前歯に負担がかかってしまっており、上の前歯に動揺を認めます。
2. 診断
CT上で、顎骨の形態や損傷してはいけない神経・血管(上図 紫)との位置関係を精査し、インプラントの直径・長さ、埋める角度等の診断を行います。同時に口の中の歯型をとらせていただき、噛み合わせや残存歯の位置関係を診査いたします。
3. インプラント埋入手術・二次手術・上部構造作製
骨質が良好であったため、骨再生治療を行うことなく、インプラント埋入ができました。インプラント埋入時や術後の経過をみて、二次手術までの治癒期間を判断します。(下顎:3〜4ヶ月、上顎:4〜6ヶ月 ※骨質によってはそれ以上のこともあります。)二次手術が終わるとインプラントのパーツが歯茎の上に出てくるので、パーツの交換が可能になり、歯型をとって被せ物を作製する事が出来るようになります。


3.1. インプラント埋入手術


3.2. 二次手術(4ヶ月後)


3.3. 歯型をとる前の確認のエックス線写真
4. 術後口腔内写真
インプラント治療後に上の前歯をブリッジで治療し、定期メインテナンスに移行しました。
※ご自身で外して磨く事ができます。
(患者可撤式)
5. プレミアムクラウン
プレミアムクラウンではジルコニアの内側にソフトアタッチメント(左下図)が入っており、食事中に外れないようになっております。歯磨きの時にご自身で外していただくことにより、インプラント周囲の清掃が容易になります。また、セメントを使用しないため、インプラント周囲炎のリスクを減らせると考えております。
装着時

外した時

※ご自身で外して磨く事ができます。
(患者可撤式)
5. プレミアムクラウン
プレミアムクラウンではジルコニアの内側にソフトアタッチメント(最下部画像)が入っており、食事中に外れないようになっております。歯磨きの時にご自身で外していただくことにより、インプラント周囲の清掃が容易になります。また、セメントを使用しないため、インプラント周囲炎のリスクを減らせると考えております。
| 主訴 | 奥歯がないので食事がしづらい。 |
|---|---|
| 治療内容 | 左右下顎の奥歯にインプラント治療を行い、咬合機能を回復させました。 |
| 治療期間 | 6〜8ヶ月(骨再生治療が必要ない場合) |
| 治療費 | 埋入手術 ¥275,000 二次手術 ¥55,000 プレミアムクラウン(患者可撤式) ¥154,000(税込) |
| 治療リスク | ・術後疼痛、腫脹、出血などの可能性があります。 術後は抗生剤・消炎鎮痛剤・含嗽剤を処方いたします。疼痛は消炎鎮痛剤で抑えられる程度のことがほとんどです。 |
1.初診時口腔内写真
右上の前歯が折れたので、綺麗に治して欲しいということで来院されました。
2.抜歯
右上前歯は20代の頃にスキーで転倒し、歯が折れたとのことでした。3回ほど被せ物をやり直したそうですが、今回は残った歯根に破折線が認められ抜歯の適応となりました。患者さんは骨再生・インプラント治療を希望されました。
まずは抜歯を行い、抜いたあなについた炎症性の肉芽組織を丁寧に掻爬し、歯肉が早く治癒するように吸収性のコラーゲンスポンジを入れて、縫合しました。


3.骨再生手術
前歯を抜歯すると、顎の骨が凹んでしまうことが多いです。そのような症例では、抜歯後2~3ヶ月で、粘膜が治癒した後に骨再生治療を行い、その4~6ヶ月後にインプラント埋入を行います。
本症例では、下顎の親知らずの奥から骨を採取・粉砕し、人工骨(ハイドロキシアパタイト・β-TCP)と血液を混合し、凹んだ骨に移植しました。手術部位が2箇所になるというデメリットはありますが、自分の骨を混ぜることで骨を作る能力が大きく向上します。






術前

術後6ヶ月

4.インプラント埋入
インプラントの唇側の骨の厚みが十分確保できるようインプラント埋入を行いました。
埋入の際に取れてきた骨を、念のため唇側に移植し縫合しました。
図1

図2

5.2次手術・仮歯の調整
インプラントの唇側には、厚みのある歯肉がある方が、歯肉が下がったりしにくくなります。そのため、2次手術はロール法という方法で、本来切り取ってしまう歯肉を折りたたんで、歯肉に厚みが出るようにしています。
その後、3ヶ月くらいかけ、仮歯を何度も調整します。歯肉のラインを揃えていき、歯間乳頭(矢印)がきれいになるように調整していきます。




6.印象採得(歯型をとる)
調整した仮歯の形態をコピーして印象を取ります(カスタムコーピング)。
前歯のインプラント治療は審美的なことに配慮しなければらないため、治療が難しくなります。




7.術後口腔内写真
左上の前歯が傾いているため、完全な左右対称にすることはできませんでしたが、ある程度審美的なインプラント治療が行えました。
今後は、炎症が起こらないように注意しながら、メインテナンスを行なっていく必要があります。


| 主訴 | 右上の前歯を綺麗にしてほしい。 |
|---|---|
| 治療内容 | 右上の前歯に骨再生・インプラント治療を行い、審美的なことに配慮しながら歯肉形態を整え、被せ物を装着しました。 |
| 治療期間 | 約18ヶ月 |
| 治療費 | 骨再生治療 ¥132,000 インプラント埋入 ¥275,000 2次手術 ¥55,000 プロビジョナルレストレーション ¥22,000 ジルコニアフレームオールセラミッククラウン ¥154,000 |
| 治療リスク | ・術後疼痛、腫脹、出血などの可能性があります。 術後は抗生剤・消炎鎮痛剤・含嗽剤を処方いたします。疼痛は消炎鎮痛剤で抑えられる程度のことがほとんどです。骨再生治療では、骨移植材を歯肉で完全に覆うために減張切開と呼ばれる切開を加えます。そのため、内出血や術後の腫脹が他の外科治療よりも強く出ることがあります。3日~1週間ほどで炎症は消退することがほとんどです。 ・全ての症例において歯肉形態が満足できる結果になるとは限りません。 |
1.初診時口腔内写真
ブリッジになっている上の前歯がぐらつくということで来院されました。
5回ほどブリッジをやり直しているのに数年でだめになってしまうので、なんとかしてほしいとのことでした。
2.ブリッジ除去後
ブリッジを除去すると、全ての歯が歯ぐきの下でむし歯になっていました。
このまま土台を立てて同じようにブリッジを作製すると、数年後に同じ状況になってしまうことが予想され、次は歯を抜かなければならない可能性があります。4本のうち2本(黄色※)は歯も薄く、長期的に保存するのは困難と診断しました。


3.角化歯肉移植術·歯冠長延長術
歯ぐきの下でむし歯が進行してしまった歯に歯周外科を行うことで、歯が伸びてきたような状態になります(症例4で解説)。
それにより、①土台をたてる時に確実な接着を得られる、②自分の残っている根まで被せ物で覆う(フェルールの獲得)ことができ、
被せ物が長持ちする可能性があります。




4.骨再生·インプラント埋入·2次手術
まずは骨再生手術を行い、6ヶ月後にインプラント埋入手術を行いました。
その6ヶ月後に2次手術を行い、マグネットに対応する土台を装着しました。




5.被せ物、マグネット装着
将来不安な歯(※)がなくなってしまっても、修理することで義歯を使い続けられるようにマグネット(細矢印)を義歯に組み込み、インプラントで義歯を支持する設計にしました。インプラントで支持することで、ブリッジが壊れる原因である、下からの突き上げる力(太矢印)を抑制することができ、残った4歯の力学的な負担を軽減させることができると考えます。








6.術後エックス線写真
インプラント周囲の骨吸収もなく、むし歯の治療をした4歯も問題なく経過しております。
7.術後口腔内写真
残した歯の動揺などもなく、現在は順調に経過しております。今後、メインテナンスを継続し、長期の経過を観察する必要があります。
| 主訴 | 上の前歯のブリッジがぐらつく |
|---|---|
| 治療内容 | 前歯4歯の根管治療、歯周外科を行い、被せ物を装着しました。 強度不足を補うために、左上前歯に骨再生·インプラント治療を行い、 インプラントに支持されたコーヌステレスコープ義歯を装着しました。 |
| 治療期間 | 約18ヶ月 |
| 治療費 | 骨再生治療 ¥132,000 インプラント埋入 ¥275,000/本 2次手術 ¥55,000/本 マグネット ¥33,000/本 内冠 ¥77,000/歯+金属代 外冠 ¥99,000/歯+金属代 ソフトアタッチメント ¥33,000/歯 ※別途金属代がかかります。 |
| 治療リスク | ・外科手術後疼痛、腫脹、出血などの可能性があります。
術後は抗生剤·消炎鎮痛剤·含嗽剤を処方いたします。疼痛は消炎鎮痛剤で抑えられる程度のことがほとんどです。 骨再生治療では、骨移植材を歯肉で完全に覆うために減張切開と呼ばれる切開を加えます。そのため、内出血や術後の腫脹が他の外科治療よりも強く出ることがあります。 3日~1週間ほどで炎症は消退することがほとんどです。 ·長期で経過を追っていくと、保存困難となる歯が出てくる可能性があります。 その際は義歯を修理することで対応する予定です。 |
1.初診時 2013年6月
左上の歯が揺れていて、前医に抜歯するしかないと言われたが、残してほしい ということで当時の勤務先に来院されました。左上の奥歯は、根の先まで大きく骨吸収しており(↓)、抜歯の診断でもおかしくない状況でした。
2.根管治療、咬合調整
歯周病で根の先まで骨吸収していると、根の先から神経に感染して激しい痛みが出ることがあります(逆行性歯髄炎)。その予防のために神経を取り、レジン充填を行いました。噛み合わせの調整(咬合調整)を行い、咬合の負担がかかりすぎないように調整をしました。


3.抜歯
口腔清掃状態がとても良いので、8年間症状が出ませんでしたが、咬合時痛が出てしまったため、抜歯(✳︎)を行いました。
4.ソケットリフト・骨再生
ソケットリフトは上顎骨の厚みが薄く、上顎洞までの距離が部分的に足りない場合に、インプラントを埋入する穴から上顎洞側(↓)に骨を造る術式です。同時にインプラントを埋入できることが多いですが、今回は顎堤側(✳︎)にも骨を再生する必要があったため、数ヶ月間骨が再生するのを待ってからインプラントを埋入する方針にしました。




5.インプラント埋入
ソケットリフトから6ヶ月後にインプラントを埋入しました。骨形成も良好で、術前のシミュレーションに沿って埋入することができました。




6.術後エックス線写真
インプラント埋入から6ヶ月後に2次手術を行い、ジルコニアクラウンを被せて、最終補綴を行いました。現在、インプラント周囲の骨も安定しており、良好に経過しております。今後も注意深く、メインテナンスを行なっていく必要があります。

| 主訴 | 左上の歯が揺れていて、前医に抜歯するしかないと言われたが、残してほしい。(2013年当時の勤務先に来院→2019年当院に転院) |
|---|---|
| 治療内容 | 重度歯周病の左上第一大臼歯を治療し、8年間保存しました。抜歯適応となってしまったため、抜歯後にソケットリフト・骨再生治療を行い、インプラント治療を行いました。 |
| 治療期間 | 抜歯後 約18ヶ月 |
| 治療費 | 骨再生治療 ¥132,000 インプラント埋入 ¥275,000 2次手術 ¥55,000 プロビジョナルレストレーション ¥22,000 プレミアムクラウン(患者可撤式) ¥154,000 |
| 治療リスク | ・術後疼痛、腫脹、出血などの可能性があります。術後は抗生剤・消炎鎮痛剤・含嗽剤を処方いたします。疼痛は消炎鎮痛剤で抑えられる程度のことがほとんどです。骨再生治療では、骨移植材を歯肉で完全に覆うために減張切開と呼ばれる切開を加えます。そのため、内出血や術後の腫脹が他の外科治療よりも強く出ることがあります。3日~1週間ほどで炎症は消退することがほとんどです。 ・上顎洞の手術(ソケットリフト・サイナスリフト)は上顎洞粘膜を破らないように慎重に手術を行いますが、破れてしまった場合は手術を中断する可能性があります。また、術後の感染で上顎洞炎を発症する可能性が稀にあります。術後の骨形成が不良の場合は、インプラント埋入ができないと判断する場合があります。 |
1. 初診時の診断
初診では口腔内診察・歯周病検査・パノラマエックス線写真による診査・診断を行い、親知らず抜歯が必要か精査します。この患者さんは右下の歯茎が腫れて痛みを感じていたとのことでした。親知らずは萌出していませんが、第2大臼歯の後方に6mm以上の歯周ポケットが認められました(図1)。
パノラマエックス線写真を撮影したところ、右下第2大臼歯の後ろに親知らずが横向きに埋まっていました(図2)。
親知らずの周りのすき間に細菌が蓄積して炎症を起こす、智歯周囲炎の診断となりました。
抜歯の必要性をご説明し同意いただいた患者さんには、具体的な抜歯の手順・リスクについての説明をいたします。この親知らずは歯根が2つに分かれており、歯根が下顎管(神経・血管が走行するトンネル)と近接しており、比較的難易度の高い抜歯となることが予想されます。


2. CT撮影
このような症例ではより安全に抜歯を行うためCTを撮影し、さらなる精査を行います(図3)。
CT画像所見から、歯根は湾曲しており、下側にある歯根は下顎管と近接していることがわかります。
術後の腫れ・痛みを少しでも軽減させるために、なるべく骨を削らないように歯を細かく割って抜歯を行っていくのですが、CTを撮影することで、絶対に削ってはいけない部分を認識しながら抜歯を行うことができ、術後の麻痺のリスクを軽減させることができます。
3. 抜歯
抜歯は約1時間以上の予約をお取りします。局所麻酔を行い、10〜15分ほど浸潤するのを待ちます。親知らず周囲の骨は硬く通常の麻酔では効きにくこともあるので、必要に応じて下顎孔伝達麻酔を行うことで、術中に痛みを感じるリスクを軽減する工夫をしております。
まず歯肉を切開し、CTの3D画像のように横向きになった歯を確認します(図3)。
このままでは歯が出てこないので、前の歯に引っかかっている部分を切断し、歯冠部を抜去します。
その後、歯根が2つに分かれている場合はさらに歯を2つに割って抜去します(図4)。
実際は下図の分割だけでは抜けないこともあるため、さらに歯を細かく割って取り出します。歯根を分割する際には術中に確認のエックス線写真をお取りすることで、より慎重に抜歯を行います(図5)。
抜歯の難易度は歯の埋まっている深さ、歯根の本数・曲がり具合などによって決まるので、CTの情報は抜歯の難易度を判定するためにもとても重要になります。


1.初診時口腔内写真
初診時の口腔内写真です。
左上の銀歯(黄色丸)が、ぐらぐらして痛いということで来院されました。
2.初診時パノラマX写真
痛みが出ている歯は破折しているため(黄色丸)、保存困難と診断いたしました。
右上にある親知らず(赤色丸)がしっかりしていたので、歯の移植を計画しました。

3.当院における移植の条件
①簡単に抜ける親知らず・歯根膜(上図)を損傷しないように抜ける。
・埋まっている、横向きの親知らずは難しい。
②歯を抜いた穴に親知らずが適合する・適合しない場合は、残っている骨を削ってまで移植は行わないようにしております。

4.歯の移植術
手術当日は、保存困難な歯を抜歯し、抜いた歯の周囲組織をきれいに掻爬します。その後、丁寧に親知らずを抜去し、一番安定がいい位置に適合させ、縫合・接着剤で固定します。術後1週間で抜糸を行います。
1ヶ月程度固定し、根管治療を行います。移植後3〜6ヶ月で被せ物を入れて治療終了です。
5.術後口腔内写真
移植後根管治療を行い、被せ物を装着しました。本症例では問題ありませんでしたが、移植歯が歯根膜を介さずに骨と直接結合するアンキローシスで生着した場合(術後すぐはわからないことも多いです)長期経過を観察していくと、歯根吸収が起こり、動揺が出る可能性があります。
移植後は長期的に経過を観察していく必要があります。
6.術後パノラマエックス線写真
移殖歯周囲に骨形成が起こり、良好に経過をしております。
| 主訴 | 左上の奥歯がぐらぐらして痛い |
|---|---|
| 治療内容 | 左上の奥歯を抜歯し、右上に残っていた親知らずを移植しました。 |
| 治療期間 | 4ヶ月 |
| 治療費 | 手術料¥55,000 プレミアムジルコニアクラウン ¥121,000 ※クラウンは他のものを選択いただくことも可能です |
| 治療リスク | 術後出血・腫脹・疼痛の可能性が あります。 まれに移植歯が生着しないことが あります。 |
1. 初診時エックス線写真
初診時のエックス線写真です。患者さんは血小板減少性紫斑病という、血が止まりにくい難病をかかえています。歯を抜くときは市中病院に入院して輸血の準備をしなければなりません。丸で囲んだ6本の歯は歯周病が重度で残すことが難しいため、最初に抜歯の依頼を行いました。
2. 仮の義歯をいれた状態
抜歯が終了し、仮の入れ歯を作製いたしました。上の歯は総入れ歯ですが、下の歯は6本残りました。


2. 仮の義歯をいれた状態
抜歯が終了し、仮の入れ歯を作製いたしました。上の歯は総入れ歯ですが、下の歯は6本残りました。
3. 抜歯後のエックス線写真
通常の治療では残った歯に固定性のブリッジを装着し(参考写真1)、奥歯に入れ歯をかけます(参考写真2)。固定性のブリッジを選択する場合、丸で囲んだ2本の歯のように長期で機能するか不安な歯はあらかじめ抜歯をすることがあります。ブリッジ装着後に症状が悪化したらブリッジを壊してやり直さなければならないからです。
4. コーヌステレスコープ義歯装着後
この患者さんは取り外し可能なコーヌステレスコープ義歯を選択されました。丸で囲んだ歯は力のバランスが取れて失った骨が戻ってきましたが、将来的に症状が出て抜歯となっても義歯の修理で対応可能です。コーヌス義歯は自分ではずせるため清掃がしやすく、修理をすることで口腔内の環境の変化に臨機応変に対応が可能です。
5. 術後2年後の口腔内写真
下の入れ歯を落としてしまい、白い材料がかけたため即日修理をしております。それ以外は2年間問題なく経過しています。
予後が不安であった下の前歯2本も状態を維持できています。今後も3ヶ月に1度のメインテナンスを行い、管理をしていきます。
5. 術後2年後の口腔内写真
下の入れ歯を落としてしまい、白い材料がかけたため即日修理をしております。それ以外は2年間問題なく経過しています。
予後が不安であった下の前歯2本も状態を維持できています。今後も3ヶ月に1度のメインテナンスを行い、管理をしていきます。
| 主訴 | 歯茎が腫れていることにより来院 |
|---|---|
| 治療内容 | 血小板減少性紫斑病を有する患者さんは出血が止まりにくいため、入院して抜歯が必要になります。そのため、歯周病治療後の歯を補う治療(ブリッジや義歯)は再治療が簡単に済むように設計する必要があります。この患者さんはコーヌステレスコープ義歯を用いて治療を行いました。 |
| 治療期間 | 義歯の作成(下:約3ヶ月、上:約2ヶ月) |
| 治療費 | 内冠:77,000円/歯+金属代、 外冠:99,000円/歯+金属代、 ソフトアタッチメント:33,000円/歯、 金属床義歯330,000〜550,000円 (税込) |
| 治療リスク | コーヌステレスコープ義歯を維持するソフトアタッチメントが数年で劣化し、維持が弱くなった際は修理が必要になる場合があります。 |
1. 初診時口腔内写真
20年以上歯医者に行けてなく、噛めなくなってきたので治療してほしいということで来院されました。全体的に、治療してある歯の二次う蝕(むし歯)と、歯肉の出血·排膿を認めます。
2. 初診時エックス線写真
被せ物の下でむし歯が広がっているため、(*)の歯は抜歯を行いました。他の歯は歯周病治療と根管治療·むし歯治療を行う事で保存が可能でした。上顎は残せる歯が少ないので、インプラントによる義歯の支持を検討しました。
3. インプラント埋入·2次手術
上顎は残存する歯の本数が少ないため、義歯を少しでも小さくするためにインプラント埋入手術を行いました。一部骨が薄いところがあったため、同時に少量の人工骨も移植しました。6ヶ月後に2次手術を行い、マグネットに対応する土台(アバットメント)を装着しました。
4. 義歯装着
3点マグネット(*)で支えられれば、口蓋(●)を覆わない総義歯にしても安定が得られます。口蓋には味覚を感じる機能もあり、温度感覚、発音にも影響しているため、口蓋を覆わない義歯にするメリットがあります。
5. 術後エックス線写真
根管治療を行なった歯(*)や歯冠修復を行なった歯は問題なく経過しております。
6. 術後口腔内写真
現在は順調に経過しておりますが、う蝕の再発予防に重点を置いたメインテナンスを行い、長期の経過を観察する必要があります。
| 主訴 | 噛めない。20年以上ぶりに治療をして欲しい。 |
|---|---|
| 治療内容 | 保存困難歯の抜歯を行い、保存可能歯のう蝕·根管治療、歯周病治療、歯冠修復を行いました。上顎はインプラントを1本埋入し、口蓋を覆わない総義歯を作製しました。 |
| 治療期間 | 約12ヶ月 |
| 治療費 | インプラント埋入:275,000円/本、 2次手術:55,000円/本、 マグネット:33,000円/本 |
| 治療リスク | ・外科手術後疼痛、腫脹、出血などの可能性があります。 術後は抗生剤·消炎鎮痛剤·含嗽剤を処方いたします。疼痛は消炎鎮痛剤で抑えられる程度のことがほとんどです。3日~1週間ほどで炎症は消退することが多いです。 |
1. 治療前
前歯が左右で非対称な形をしていて、被せものの色も違います。
2. 被せ物(クラウン)の中のむし歯の治療
むし歯を除去し、新しい土台(コア)を建てます。
むし歯の部分を除去すると、歯がほとんど歯茎の中に埋まってしまいました。これでは精密な型取りや、被せ物の装着が困難です。
3. 歯周外科手術
左右の歯茎の高さを揃えるため、歯茎の外科手術をしました。
4. 型取り
精密な型取りを行い、クラウンを作製します。
5. クラウンの装着
クラウンを装着した治療後の写真です。


6. 術前後の比較
クラウンだけでなく、歯肉の形も整えた治療を行いました。
| 主訴 | 前歯の見た目が気になる。 |
|---|---|
| 治療内容 | むし歯になっていた古い被せものを外し、歯茎の治療と被せ物の作製を行いました。 |
| 治療期間 | 2~6月程度です。歯周病の手術時間は1時間程度です。手術後、歯茎が安定するまで、数ヶ月待つことがあります。その間は仮歯で生活して頂きます。 |
| 治療費 | 仮歯 ¥3,300 歯周外科手術 ¥33,000 セラミッククラウン ¥132,000(税込) |
| 治療リスク | 術後出血・腫脹・疼痛の可能性があります。 |
1. 治療前
左下(向かって右)の小臼歯に歯肉退縮があります。
1-2. 治療前
2. 歯茎を採取
上顎の内側(舌側)から「結合組織」と呼ばれる歯茎を、板状に採取します。
3. 縫合して止血
採取後は縫合して止血をします。術後の痛みはないことが多いです。
4. 採取した歯茎
採取した歯茎(脂肪組織を除去して使用します。)
5. 移植後
移植した歯茎を歯肉退縮した歯茎の下に潜り込ませて、縫合しています。糸は1~2週間で除去します。
6. 治療後(術後6ヶ月)
術後6ヶ月の歯茎の状態です。
| 主訴 | 冷たいものがしみる。歯茎が下がっている。 |
|---|---|
| 治療内容 | 上顎から歯茎を採取して、露出した歯根面にはりつけます。 |
| 治療期間 | 手術当日は2時間~。1~2週間で抜糸を行います。約1ヶ月で歯肉は安定してきます。 |
| 治療費 | 1歯 ¥55,000(税込) |
| 治療リスク | ・術後出血・腫脹・疼痛の可能性があります。 ・一過性の黄疸(頬部)を起こす可能性があります。(2~3週間で消えます) ※当院での発生頻度は(0~1件/40件)となっております。 |

1. 治療前
初診時の口腔内写真です。
右下顎前歯の歯肉退縮とブラックトライアングル(*のすき間)の改善をしてほしいとのことで来院されました。
まずは、歯肉移植により、歯肉の高さを左右でそろえ、ブラックトライアングルは歯を削らずに、ダイレクトボンディングにて修復する計画としました。

2. 歯肉移植の計画
今回の症例は、現在用いられている歯肉退縮の分類(Miller分類、Cairo分類)において、
「完全な根面被覆(青線まで回復)は難しく、部分的な被覆を期待する」というレベルの歯肉退縮でした。
そこで、今回の歯肉移植では緑線まで歯肉を作り、左右対称にすることを目的として手術を行いました。
3. 結合組織移植術
左の上の口蓋から歯肉を採取し、VISTA(Vestibular Incision Subperiosteal Tunnel Access)テクニックという、
低侵襲な術式で根面被覆術を行いました。

4.術後口腔内写真
わずか1mm程度の根面被覆ですが、左右対称になるだけで印象がかわります。
また、バイオタイプ(歯肉の厚み)が改善したため、今後歯肉退縮が起こりにくくなります。
Before

After

5.ダイレクトボンディング
ブラックトライアングルの改善のため、
東京医科歯科大学むし歯外来 畑山貴志先生(当院 非常勤勤務)に歯を削らずに審美修復を行ってもらいました。
| 主訴 | 前歯の歯ぐきが下がって、見た目を何とかしてほしい |
|---|---|
| 治療内容 | 下顎前歯に結合組織移植術を行い、歯肉のラインを整えた後、ダイレクトボンディングにてブラックトライアングルの改善をおこないました。 |
| 治療期間 | 4ヶ月 |
| 治療費 | 歯肉移植 1歯 ¥55,000 ダイレクトボンディング (本症例の場合)¥38,500〜¥55,000(税込) |
| 治療リスク | 歯肉移植術を行うと、術後疼痛、腫脹、出血などの可能性があります。ダイレクトボンディングを行うと、経年的に着色することがあるので、その際は研磨を行う必要があります。 |
1. 治療前
初診時の口腔内写真です。むし歯と歯の磨耗で上の前歯は根だけが残っている状態ですが、歯周病はありませんでした。


2. 仮の義歯を装着
顎関節や顔貌の診査を行い、咬合器に装着しました。咬合器上で噛み合わせを分析し、仮の入れ歯を作製しました。下の前歯が上の歯ぐきに当たっていたので、噛み合わせを修正した入れ歯を装着し、問題なく噛むことが出来るか確認をしました。
3. 歯冠長延長術(クラウンレングスニング)
歯冠長延長術という歯周外科を行い歯ぐきを下げることで、歯ぐきに埋まっていた部分の歯が伸びてきたような状態になります。歯ぐきよりも上にある歯に対しては土台を建てるときの接着剤が強固につくのでより長持ちする被せ物ができます。
4. 術前術後の比較
上の前歯、左下の奥歯に歯冠長延長術を行い、歯を多く残すことができたため、左下の入れ歯を小さくすることができました。むし歯でお困りの患者さんに歯周外科を応用することで、歯を保存できることもあります。
5. 治療後
メインテナンス移行時のの口腔内写真です。今後はむし歯・酸蝕症の予防を行うために、食生活指導やブラッシング指導を中心とした定期メインテナンスを行います。
| 主訴 | 下の歯が歯ぐきに刺さって痛い。近所の歯科医院で治療困難と言われたため当院へ来院 |
|---|---|
| 治療内容 | 噛み合わせの挙上と歯冠長延長術を行ったことで、前歯の見た目を回復し、奥歯でしっかりと噛めるようになりました。この患者さんに歯周病はなく、歯周外科をむし歯治療に応用しました。 |
| 治療期間 | 仮の入れ歯を数ヶ月使用、歯冠長延長術に45分〜1時間程度かかりました。1週間後に抜糸を行い、合計で1年の治療期間を要しました。 |
| 治療費 | 歯冠長延長術 1歯 ¥33,000(税込) |
| 治療リスク | ・術後疼痛、腫脹、出血などの可能性があります。 術後は抗生剤・消炎鎮痛剤・含嗽剤を処方いたします。疼痛は消炎鎮痛剤で抑えられる程度のことがほとんどです。 |
1.初診時口腔内写真
左下の奥歯が痛くて歯科医院を受診したところ、抜歯の診断となりました。何とか残す方法がないか相談したいとのことで来院されました。
2.初診時エックス線写真
左下の1番奥の歯に神経に達する大きなむし歯を認めました。
今回の症例では、むし歯が歯ぐきの中まで深く進行していたため、抜歯と言われてしまったようです。抜歯の適応でもおかしくないむし歯ですが、患者さんは歯の保存を強く希望されました。
このような難しい治療は、治療期間・費用がかかり、後にトラブルが起こる可能性を十分ご理解いただいた上で治療をさせていただきます。


3.むし歯除去、歯肉切除
まずは、抜髄·根管充填を行ないました。
本症例は歯ぐきの下まで進行しているむし歯なので、症例4、12のように歯冠長延長術(クラウンレングスニング)を行うことも可能でした。
しかし、下顎最後方臼歯の歯肉は厚みがあるため、手術を行なっても歯肉を下げきれないことがあります。
今回は、電気メスで少し歯肉切除し、歯型を取って土台をたてる方法(間接法支台築造)を選択いたしました。

4.プラチナ(白金加金)メタルコア
メタルコアの材料は最も適合がよい、白金加金を選択しました。
歯肉と直接接する部分はよく研磨してもらい、少しでもプラークが蓄積しない工夫をしております(矢印)。



メタルコアを装着し、その上に仮歯をのせ、1ヶ月ほど使ってもらいました。
問題ないことを確認し、最終の被せ物を装着しました。




5.術後口腔内写真
術後左下奥歯の歯肉に炎症は認められず、良好に経過しております。
今後も注意深く経過観察を行なっていきます。
| 主訴 | 左下の奥歯を抜かないで治療して ほしい。 |
|---|---|
| 治療内容 | 保存困難な左下の奥歯に、歯肉切除・白金加金のメタルコアによる支台築造を行い、歯の保存を行なった。 |
| 治療期間 | 3ヶ月 |
| 治療費 | プラチナメタルコア¥33,000+金属代 (メタル量によって変動) ホワイトジルコニアクラウン¥77,000 ※クラウンは他のものを選択いただくことも可能です。 |
| 治療リスク | 保存困難な歯を保存治療する際は、治療期間・費用がかかりますが、術後短期でトラブルが起こることがあります。 |
1.初診時口腔内写真
初診時の口腔内写真です。
右下の奥歯から血が出て、においがするということで来院されました。


2.初診時デンタルエックス線写真
被せ物を外すと歯ぐきの下まで及ぶむし歯を認めました。教科書的には抜歯の適応となりますが、患者さんは歯の保存を強く希望
されました。
このような難しい治療は、治療期間·費用がかかり、後にトラブルが起こる可能性を十分ご理解いただいた上で治療をさせていただきます。
今回は歯根分割(ルートセパレーション)を行い、小矯正·歯冠長延長術によって歯を保存する計画としました。
装置装着後


1カ月後

3.エクストルージョン
歯根の長さが十分あったので、エクストルージョンという術式の小矯正を行いました。
歯根にフック付きのワイヤーを埋め込み、歯根の上に鉄棒のようなワイヤーを設置します。
両ワイヤーをゴムで結紮し、週に1度程度ゴム交換をします。
1ヶ月ほどで、ワイヤー同士が当たってきたので、歯根が伸びてきたことが分かります。



4.歯冠長延長術
エクストルージョンでは、歯肉ごと上に上がってくるので、歯冠長延長術(症例4で詳細を解説)を行い、歯肉と骨の形態を整えます。
歯肉が治癒したあと、小さい歯を2つ連結したような被せ物を装着しました。
5.術後口腔内写真
歯を2つに分割しているため、間に歯間ブラシが入る形態の被せ物を装着しました。
今後は同部位の清掃などに注意しながら、メインテナンスを行っていきます。
| 主訴 | 右下の奥歯から血が出て、においがする。 |
|---|---|
| 治療内容 | 右下の奥歯に歯根分割(ルートセパレーション)、小矯正(エクストルージョン)·歯冠長延長術を行い、被せ物を装着しました。 |
| 治療期間 | 4ヶ月 |
| 治療費 | エクストルージョン¥33,000 歯冠長延長術¥33,000 プレミアムジルコニアクラウン¥121,000 ※クラウンは他のものを選択いただくことも可能です。 |
| 治療リスク | 保存困難な歯を保存治療する際は、治療期間·費用がかかりますが、術後短期でトラブルが起こることがあります。 歯冠長延長術では、術後出血·腫脹·疼痛の可能性があります。 |